Ankle arthritis is common and is the result of your ankle joint cartilage wearing away. Cartilage is the nearly frictionless surface that allows for smooth motion of your ankle. Cartilage can wear away as a result of previous injuries, "wear-and-tear" due to the cumulative daily demands of life, inflammatory conditions, and many other causes.
Once cartilage wears away significantly, the bones of your ankle joints start to rub against each other causing pain, swelling, and stiffness.
Dr. Anthony Yi specializes in treating ankle arthritis. His goal is to help you reach a life with less pain and a more functional ankle. Although he is a surgeon, his goal is to help improve your life with the simplest and least invasive solution possible (whether that involves non-surgical or surgical strategies).
If you have reached a point where your ankle is preventing you from living the life you would like to live (despite trying non-surgical methods of treatment), Dr. Anthony Yi can help you to explore excellent surgical options for treating ankle arthritis.
Read below to learn about both non-surgical and surgical options for your ankle arthritis.
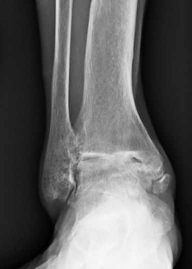
Example of x-rays showing advanced (end-stage) arthritis. Compared to the photo below (of a healthy ankle), the joint space is significantly narrowed or absent and there are many bone spurs throughout.
Example of a normal, healthy ankle joint with preserved joint space with no arthritis (the dark space between the red arrows)
Non-Surgical Treatment of Ankle Arthritis
-
ACTIVITY MODIFICATION
-
WEIGHT LOSS
-
MEDICATIONS
-
INJECTIONS
-
BRACING
-
PHYSICAL THERAPY
Dr. Anthony Yi can help guide you through non-surgical options for your ankle arthritis.
Surgical Treatment of Arthritis
- Ankle Debridement
Ankle debridement is a "clean-up" procedure that involves removing bony spurs and smoothening the joint surface. This can be an effective procedure for those with mild arthritis (but not for more advanced ankle arthritis).
In certain situations, this procedure can be performed arthroscopically (with a camera and special instruments through 2 incisions as small as several millimeters in length). Each incision is small enough to be closed with a single suture or stitch.
In other situations, this procedure is more effectively performed with a larger surgical incision.
Meet with Dr. Anthony Yi to explore your options.
- Ankle Replacement
(Total Ankle Arthroplasty)
An example of an ankle replacement (total ankle arthroplasty) performed by Dr. Anthony Yi.
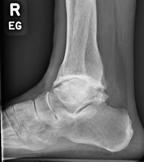
X-ray's of the same ankle before undergoing ankle replacement.
An ankle replacement (total ankle arthroplasty) is an excellent option for treating ankle arthritis. This procedure involves removing part of the worn away joint and replacing it with metal components. A spacer made of a special plastic (called polyethylene) is then placed between the metal components. Research has shown that ankle replacements can lead to many years of decreased pain and increased function while preserving ankle motion.
There have been major recent advancements in the world of ankle replacements. Dr. Yi works with engineers to build custom 3D printed guides that are used to make sure that the ankle replacement is exactly how he plans.
The photo to the left shows a 3D printed custom guide next to a 3D printed model of a patient’s tibia bone. The photo to the right shows how the 3D printed custom guide fits onto the tibia bone.
-
Total Ankle XR’s
A video of the x-ray’s taken during a real case of Dr. Yi performing a total ankle replacement. -
POSTOP MOTION
One of the major benefits of total ankle arthroplasty is the preservation of motion. This video shows excellent ankle motion immediately after Dr. Yi performed an ankle replacement.
Meet with Dr. Anthony Yi to explore if an ankle replacement is a good option for you.
-
- Ankle Fusion
(Ankle Arthrodesis)
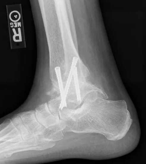
Example of an ankle fusion procedure performed by Dr. Anthony Yi.
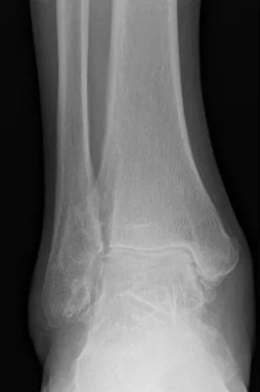
X-ray's of the same ankle before undergoing ankle fusion.
An ankle fusion involves removing any remaining cartilage in the ankle joint and causing the bone at the top of the ankle joint (the tibia) bond and become one with the bone at the bottom of the ankle joint (the talus). With an ankle fusion, the joint is "eliminated" so that the pain of arthritis is taken away. With this procedure, one also loses motion through the ankle joint. However, many patients are still able to compensate for this loss of motion with motion through the surrounding joints of the foot. Research has shown that an ankle fusion is a highly effective option for treating ankle arthritis.
Notably, this procedure can be performed through a minimally invasive method (that involves a few very small incisions) in some cases. Minimally invasive surgery has the benefits of: lower chance of infection, less wound healing complications, and less pain.
Meet with Dr. Anthony Yi to explore if an ankle fusion is a good option your ankle arthritis.


